Cận lâm sàng là một khâu nằm trong quy trình khám sức khỏe định kỳ, nó bao gồm nhiều kỹ thuật như: chụp X-quang, Siêu âm, chụp cắt lớp vi tính (CT), chụp cộng hưởng từ (MRI),…Kỹ thuật y học cận lâm sàng là sự hỗ trợ đắc lực cho các bác sĩ trong quá trình chẩn đoán và điều trị bệnh.
Thực tế, có rất nhiều bệnh lý có những triệu chứng tương tự nhau, hoặc không có triệu chứng rõ rệt nên rất khó chẩn đoán nếu chỉ dựa vào triệu chứng lâm sàng. Vì vậy, để có thể chẩn đoán chính xác tình trạng bệnh và điều trị hiệu quả, ngoài việc phát hiện các triệu chứng lâm sàng qua thăm khám, các bác sĩ còn phải kết hợp các xét nghiệm cùng việc sử dụng những kỹ thuật y học cận lâm sàng để chẩn đoán bệnh, chẩn đoán để phân biệt với các bệnh khác, đồng thời giúp người bệnh theo dõi diễn biến, đánh giá hiệu quả điều trị và tiên lượng bệnh.
Như vậy, cận lâm sàng là một danh mục không thể thiếu trong khám sức khỏe định kỳ. Đảm bảo chẩn đoán đúng bệnh, giúp người bệnh nắm rõ tình trạng sức khỏe bản thân, đồng thời có phương pháp điều trị phù hợp, hiệu quả.
Sau đây 10Hay giới thiệu 10 chẩn đoán y khoa cận lâm sàng hiện đại nhất, thể hiện sự tiến bộ vượt bậc của y học trong chẩn đoán và hỗ trợ điều trị bệnh:
1. Nội soi tiêu hóa:
Nội soi dạ dày – tá tràng và đại tràng được gọi chung là “Nội soi tiêu hóa”. Đây là một phương pháp thăm khám trực tiếp hệ tiêu hóa gồm phần trên: dạ dày – tá tràng (nội soi dạ dày – tá tràng), phần dưới là ruột già (nội soi đại tràng). Trong quá trình nội soi, bác sĩ sẽ luồn một ống soi mềm, đường kính 1 cm qua đường miệng (nội soi dạ dày), hoặc qua đường hậu môn (nội soi đại tràng) để khảo sát trong lòng ống tiêu hóa, từ đó có được chẩn đoán và có phương pháp điều trị thích hợp.

Nội soi dạ dày – tá tràng được chỉ định trong các trường hợp như:
- – Đau thượng vị, buồn nôn ói sau khi ăn, gọi chung là hội chứng dạ dày – tá tràng.
- – Sụt cân không rõ nguyên nhân.
- – Ói ra máu, đi cầu phân đen hoặc thiếu máu không rõ nguyên nhân.
- – Trào ngược dạ dày – thực quản.
Nội soi đại tràng thường được chỉ định trong các trường hợp:
- – Đau bụng, thay đổi thói quen đi tiêu hằng ngày như bị bón, tiêu chảy kéo dài.
- – Sụt cân không rõ nguyên nhân.
- – Thiếu máu hoặc đi cầu ra máu không rõ nguyên nhân.
- – Nhằm tầm soát ung thư đại tràng ở những người có gia đình bị ung thư đại tràng hoặc trên 50 tuổi.
- – Theo dõi bệnh viêm loét đại tràng,…
Giá tiền một lần nội soi vào khoảng 150.000đ đến 400.000đ.
2. Siêu âm 4D
Kỹ thuật siêu âm 4D đã đưa vào công nghệ siêu âm một bước ngoặc hiện đại mới. Biến những tấm hình siêu âm đen trắng với những con số chưa rõ ràng thành những hình ảnh có màu sắc và chính xác. Siêu âm 4D ra đời trên nền tảng của kỹ thuật siêu âm 3D và 2D, vì thế mà siêu âm 4D có những điểm vượt trội hơn.

Siêu âm 4D là siêu âm 4 chiều (gồm 3 chiều không gian và 1 chiều thời gian). Máy siêu âm màu 4D của Medison được sử dụng trong siêu âm thai nhi, nhờ 3 chiều không gian và chiều thời gian giúp cho chúng ta quan sát được không gian 3 chiều của thai nhi cùng với những cử động ngộ nghĩnh đáng yêu của em bé trong bụng mẹ.
Siêu âm 4D-Hình thái thai nhi ngoài giúp chúng ta quan sát được hình thể bên ngoài, những cử động ngộ nghĩnh đáng yêu của thai nhi còn nhằm mục đích kiểm tra, phát hiện dị tật thai nhi sớm hay nói đúng hơn mục đích chính của siêu âm 4D-Hình thái thai nhi là để “Kiểm tra, phát hiện dị tật thai nhi sớm”. Giá tiền siêu âm còn tùy thuộc vào rất nhiều yếu tố và việc bạn lựa chọn siêu âm 2D, 3D hay 4D, tuy nhiên giá tiền chỉ tốn khoảng chừng từ 100.000đ đến 500.000đ một lần siêu âm.
3. CT Scan
CT là viết tắt của cụm từ tiếng Anh: Computed Tomography (Computerized Tomography). CT scan có nghĩa là chụp quét cắt lớp điện toán, thường được gọi tắt là chụp CT hay chụp CT scan. Đây là phương pháp chẩn đoán hình ảnh sử dụng tia X để tạo nên các bức ảnh về mặt cắt các bộ phận trên cơ thể. Chiếc máy được sử dụng để tạo ra các bức ảnh này gọi là CT scanner, hay gọi tắt là máy CT scan hay máy CT.

Những hình ảnh chụp từ máy CT Scan có thể được lưu trữ, xem trên màn hình hoặc in ra thành phim. Có thể tao nên các hình ảnh ba chiều của cơ quan trong cơ thể bệnh nhân bằng cách sắp xết từng lát cắt riêng lẻ lại với nhau.
Ngày nay, CT được ứng dụng rộng rãi trên lâm sàng để phát hiện bệnh lý từ sọ não, đầu mặt cổ, tim, ngực, bụng, chậu, xương, mô mềm cho đến bệnh lý mạch máu não, cổ, mạch máu chi và các mạch máu tạng khác. CT còn được dùng để hướng dẫn phẫu thuật, xạ trị, theo dõi sau phẫu thuật. Kỹ thuật 3D-CT cho phép đánh giá chính xác vị trí tổn thương trong không gian 3 chiều, từ đó định hướng tốt cho phẫu thuật cũng như xạ trị. Kỹ thuật này còn dùng để tái tạo 3D trong các bệnh lý bất thường bẩm sinh, giúp cho các nhà phẫu thuật tạo hình chỉnh sửa tốt hơn các dị tật bẩm sinh.
4. PET CT hay PET Scan
PET CT hay PET Scan là kỹ thuật chẩn đoán hình ảnh tiên tiến nhất giúp tầm soát và xác định bệnh ung thư. Bác sĩ có thể chỉ định bệnh nhân chụp PET CT trước khi tiến hành điều trị, hoặc trong quá trình điều trị, và cả sau khi kết thúc điều trị. Việc chụp PET CT giúp phát hiện sớm các khối u nghi ngờ ung thư, mang lại hiệu quả điều trị cao và kiểm soát được tình trạng tái phát.

Chụp PET/CT cho thấy quá trình hấp thu Glucose trong cơ thể. Tất cả các tế bào đều cần tiêu thụ năng lượng và năng lượng này được tổng hợp từ Glucose trong cơ thể. Nhiều loại tế bào ung thư cần được cung cấp nhiều đường hơn tế bào bình thường. Chụp PET CT giúp phát hiện ra những vùng bị rối loạn chuyển hóa trong cơ thể và phát hiện ra các khối u ác tính dễ dàng hơn. Ảnh chụp PET CT ghi nhận các biến đổi trên các mô hiển thị và khớp chúng với bộ phận cơ thể hiển thị trên kết quả CT.
5. Sinh thiết tế bào
Sinh thiết là một thủ thuật y tế trong đó một mẫu nhỏ của mô cơ thể được lấy ra để kiểm tra dưới kính hiển vi. Mẫu mô này có thể được lấy từ bất cứ vị trí nào trên cơ thể, kể cả da, nội tạng và các cấu trúc khác. Xét nghiêm sinh thiết được sử dụng để kiểm tra và xác định những bất thường về:
- – Chức năng: ví dụ gan hoặc thận có vấn đề.
- – Cấu trúc: chẳng hạn như bị sưng ở một cơ quan cụ thể nào đó,
Mẫu mô sẽ được quan sát dưới kính hiển vi để tìm kiếm các tế bào bất thường, giúp khẳng định chẩn đoán về bệnh.

Ngoài ra sinh thiết cũng có thể được sử dụng để đánh giá mức độ nghiêm trọng của tình trạng viêm hoặc phân độ của ung thư.
Kết quả xét nghiệm sinh thiết đóng vai trò quan trọng trong việc lựa chọn phương pháp điều trị và đánh giá hiệu quả điều trị. Bác sĩ có thể sử dụng xét nghiệm sinh thiết để xác định tiên lượng tổng thể của người bệnh.
Xét nghiệm sinh thiết được sử dụng khá phổ biến trong chẩn đoán:
- – Ung thư
- – Các trường hợp bị nhiễm khuẩn hoặc viêm không rõ nguyên nhân như viêm gan, viêm thận hay bệnh lao.
Nếu chỉ khám lâm sàng, các bác sĩ không có đủ điều kiện xác định khối u là lành tính hay ác tính, do đó người bệnh cần phải thực hiện thêm xét nghiêm sinh thiết. Sinh thiết là một kỹ thuật phức tạp, do đó, người ta chỉ làm sinh thiết sau khi đã thực hiện những kỹ thuật chẩn đoán đơn giản hơn (chụp X quang, siêu âm) mà chưa khẳng định chắc chắn bệnh tật.
6. Can thiệp mạch vành qua da
Can thiệp mạch vành qua da là một kỹ thuật dùng một loại ống thông nhỏ (catheter) để đưa một bóng nhỏ vào lòng động mạch vành bị tắc rồi nong và đặt Stent (giá đỡ) để làm tái thông dòng máu. Trái với phẫu thuật bắc cầu nối chủ vành cần mở lồng ngực, can thiệp động mạch vành có thể thực hiện chỉ bằng cách mở một lỗ nhỏ trên da để đưa catheter vào động mạch ở đùi hay cổ tay. Người bệnh sẽ được gây tê tại vùng chọc nên nhìn chung, thủ thuật này không gây đau hơn một lần lấy máu làm xét nghiệm. Bệnh nhân vẫn luôn tỉnh táo trong suốt quá trình thực hiện thủ thuật. Khi chụp mạch vành, bác sĩ của bạn sẽ chỉ cho bạn động mạch vành bị hẹp/tắc, vị trí tắc nghẽn và mức độ tổn thương có cần được can thiệp nong và đặt stent hay không. Quá trình thực hiện thủ thuật thường được tiến hành trong vòng 1 giờ và phần lớn bệnh nhân có thể về nhà sau 1 – 2 ngày tính từ khi kết thúc thủ thuật.

Chụp và can thiệp nong, đặt stent động mạch vành qua da giải quyết tình trạng hẹp tắc trong động mạch vành, giúp tưới máu cho cơ tim tốt hơn trong mọi điều kiện hoạt động gắng sức của bệnh nhân và do đó, cho phép bệnh nhân có thể hoạt động trở lại mà không xuất hiện cơn đau thắt ngực. Trong trường hợp nhồi máu cơ tim, cùng với việc điều trị bằng thuốc tối ưu, thủ thuật này là một biện pháp giúp tái tưới máu động mạch vành để hạn chế bớt vùng cơ tim tổn thương do thiếu máu, đồng thời cũng giúp phòng tắc hẹp tái phát, hạn chế cơn đau thắt ngực trở lại.
7. X Quang kỹ thuật số xóa nền (DSA)
X Quang kỹ thuật số xóa nền (Digital Subtraction Angiography – DSA) là một hệ thống chụp hình mạch máu mới bằng tia X. Đây là sản phẩm của sự kết hợp giữa kỹ thuật chụp hình mạch máu thông thường theo kỹ thuật Seldinger với kỹ thuật xử lý hình ảnh bằng máy vi tính.

Một hệ thống DSA thường bao gồm các thành phần như bộ phận phát tia X, bộ phận thu nhận hình ảnh, bộ phận xử lý hình ảnh số và bộ phận hiển thị….Bộ phận trung tâm của hệ thống là bộ xử lý hình ảnh số (digital image processing system).
Như vậy nguyên lý cơ bản của hệ thống chụp DSA là dùng ánh sáng huỳnh quang và tia X chụp hình mạch máu ở những vị trí cần kiểm tra khi chưa bơm thuốc cản quang và sau khi đã bơm thuốc cản quang vào mạch máu cần chụp. Máy tính sẽ xóa mờ hình ảnh nền để làm rõ hệ thống mạch máu.
Trước khi chụp DSA, bệnh nhân phải được chuẩn bị kỹ: xét nghiệm máu, chụp X-quang phổi, ghi điện tâm đồ và nhịn ăn sáng. Bệnh nhân được đưa một ống thông vào lòng mạch máu từ bẹn lên đến động mạch cần chụp để bơm thuốc cản quang.
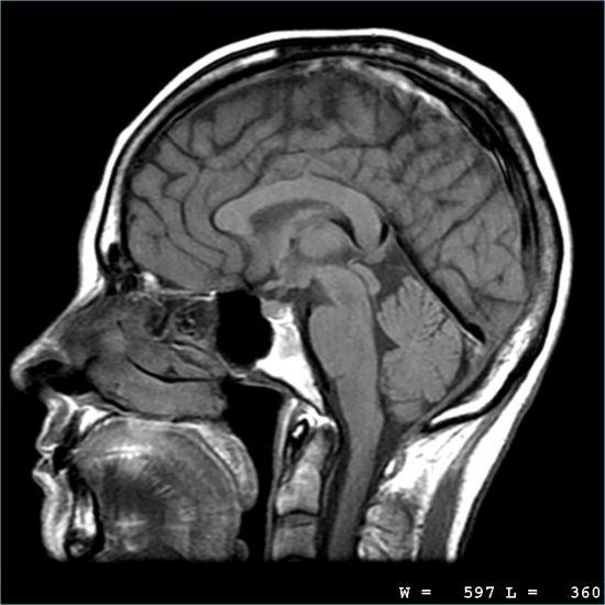
8. Chụp cộng hưởng từ (MRI)
MRI là kỹ thuật tạo hình cắt lớp sử dụng từ trường và sóng radio. Nguyên tử Hydrogen trong cơ thể dưới tác động từ trường và sóng radio, hấp thụ và phóng thích năng lượng sóng RF. Các mô cơ thể khác nhau sẽ hấp thụ và phóng thích năng lượng khác nhau. Quá trình phóng thích năng lượng được máy thu nhận, xử lý, chuyển đổi thành các tín hiệu hình ảnh. Hình ảnh MRI có độ tương phản cao, chi tiết giải phẫu tốt, khả năng tái tạo 3D, không có tác dụng phụ như X quang nên ngày càng được chỉ định rộng rãi không chỉ cho thần kinh mà còn cho nhiều lĩnh vực khác: cơ xương khớp, tim mạch, bụng…

MRI là kỹ thuật hình ảnh hiện đại, mang tính cách mạng kỹ thuật đối với y học. Cho đến nay, MRI ngày càng được sử dụng rộng rãi bởi sự chính xác, an toàn, không xâm nhập và không dùng tia X. Hình ảnh có độ phân giải cao, khảo sát đa mặt cắt, cho hình ảnh sắc nét về bộ phận cần chụp, đồng thời đánh giá được các tính chất của mô cần khảo sát.
Lợi ích của máy cộng hưởng từ:
- – Bệnh nhân không bị ảnh hưởng bởi tia xạ.
- – Bệnh nhân không bị ảnh hưởng gì về mặt sinh học.
- – Thu được hình chụp đa mặt phẳng: Mặt phẳng trán, mặt phẳng ngang, mặt phẳng dọc hay bất kỳ mặt phẳng nghiêng nào.
- – Độ phân giải mô mềm cao.
- – Hiển thị hình ảnh tốt hơn khi so với CT.
- – Chụp được mạch máu não (MRA), kể cả khi không dùng chất tương phản.
- – Là kỹ thuật hình ảnh không xâm lấn.
- – Chất tương phản tác dụng phụ rất hiếm.
9. Kỹ thuật xạ hình
Máy xạ hình SPECT (Single Photon Emission Computed Tomography) là một trong những thiết bị chẩn đoán hình ảnh hiện đại ngày nay. Về nguyên lý tạo ảnh, SPECT cũng giống như CT (Kỹ thuật SPECT phát triển trên cơ sở CT- Scanner), chỉ khác ở chỗ, với CT thì chùm pho-ton được tạo ra bên ngoài, xuyên qua cơ thể và được ghi nhận ở detector phía đối diện nguồn tia X. Cùng với SPECT, chùm bức xạ photon được phát ra từ bên trong cơ thể do phát ra đồng vị phóng xạ được đưa (uống, tiêm..) vào nơi cần chụp ảnh và chùm bức xạ phát ra được ghi nhận đồng thời bởi hệ detector quay quanh bệnh nhân. Các dược chất phóng xạ được sử dụng với một lượng nhỏ sẽ tập trung về các cơ quan cần ghi hình tuân theo các đặc điểm sinh lý và bệnh lý của ảnh thu được cho ta thông tin về chức năng (Functional image) của cơ quan muốn thăm khám.

Phương pháp này giúp phát hiện các thay đổi về bệnh học ở mức độ phân tử trước khi hoàn thành nên sự thay đổi cấu trúc giải phẫu để có thể nhìn thấy được trên hình ảnh CT, MRI… Máy SPECT cho phép hiển thị hình ảnh không gian 3 chiều rõ rệt đánh giá chức năng các bộ phận trong cơ thể, chuyển hóa tế bào. Máy SPECT có thể chụp toàn thân (Whole body), tĩnh (Static), động (Dynamic), 3 Pha, ảnh cắt lớp tomo,…
10. Sinh học phân tử (PCR)
PCR (Polemerase Chain Reaction, phản ứng chuỗi polymerase) là một kỹ thuật nhằm tạo ra một lượng lớn bản sao DNA mục tiêu trong ống nghiệm dựa vào các chu kỳ nhiệt. Kỹ thuật này được nhà khoa học người Mỹ Kary Mullis phát minh vào năm 1985. Phương pháp này đã nhanh chóng đóng góp rất lớn cho công nghệ sinh học do phản ứng rất nhạy và cho kết quả đặc hiệu. Xét nghiệm bằng kỹ thuật PCR thường có kết quả độ chính xác rất cao.

Hiện tại, xét nghiệm bằng phương pháp PCR thường có giá thành đắt hơn các xét nghiệm khác do hầu hết hóa chất để làm phản ứng đều phải nhập ngoại và phải mua với giá cao. Chưa kể các thiết bị để làm xét nghiệm PCR cũng lên đến vài chục ngàn USD/máy. Để xét nghiệm một bệnh phẩm, thường người bệnh phải tốn 8-10 USD/lần.
Do đó xét nghiệm PCR chỉ nên dùng để chẩn đoán những bệnh đặc hiệu, liên quan đến các loại virus mà những phương pháp vi sinh truyền thống không triển khai nuôi cấy được (hay nuôi cấy được nhưng độ nhạy thấp và kết quả chậm) như bệnh lao, các bệnh liên quan đến virus viêm gan siêu vi B, viêm gan siêu vi C, H5N1, sốt xuất huyết,…
Xem thêm: